恵比寿駅徒歩1分の歯医者・矯正歯科はココロデンタル恵比寿

〒150-0021 東京都渋谷区恵比寿西1丁目9−7 グランベル恵比寿ビル WEST10F

Menu

根管治療

根管治療は、虫歯や外傷で感染した“歯の神経(根管)”を清掃・消毒し、密封して再感染を防ぎ、できる限り歯を残すための治療です。
抜歯を勧められた歯でもまず保存の可能性を精査し、当院では必要に応じて保険診療内でも他院では自費対応になりがちな歯科用CTとマイクロスコープを使用します。病変の見落としや再感染リスクを徹底して抑えます。

さらに、痛みに配慮した精密治療は本院で対応しつつ、分院の専門医へシームレスに連携することも可能です。検査データを共有し、最適な治療へスムーズに移行します。

ココロデンタル恵比寿の
こだわり

  • 保険診療で 精密根管治療!病変の見落としを防ぎ、再発要因を見逃しにくい治療を実施

  • 抜歯回避を最優先!他院で抜歯宣告でも、保存の可能性を追求します!

  • 専門医とシームレスに連携!根管専門医のいる分院と即時に連携し、
    症例難易度に最適な治療ルートを提案します!

  • 再発予防の対策! ラバーダムの使用で無菌環境を維持し、
    再感染・器具誤飲を予防して治療成功率を高めます!

  • 自由診療で精度最大化! 十分な治療時間と新品の機器を使用します!

ココロデンタル恵比寿院長 小林 弘樹
ココロデンタル恵比寿
院長

小林 弘樹

Kobayashi Hiroki

私が最も大切にしているのは、あなたの「時間」を無駄にしないことです。 短期間での完了をめざしながら、質も妥協せず、一回の診療には必要に応じて十分な時間を確保し、より良い治療を丁寧に提供します。 不安や痛みには先回りして配慮し、納得のうえで決める。その積み重ねが、日々の生活リズムを崩さずに健康を守る最短路だと考えています。恵比寿で、あなたの時間も笑顔も、大切に守り続けます。

目次

根管治療の目的

根管治療の目的は、歯髄の細菌感染による炎症で生じる痛みを取り除くことです。

根管内を消毒・殺菌し、再度細菌感染しないように歯を守るために行う治療です。

根管治療の目的

根管治療が必要になる症状

根管治療が必要な状態は以下の3つです。

根管治療が必要な状態

  • 歯髄炎…虫歯や外傷によって歯髄が炎症を起こしている状態
  • 歯髄壊死…歯髄炎を放置することで歯の神経が死んでしまった状態
  • 根尖性歯周炎…歯根の先端にまで細菌感染が進行して炎症を起こし、歯槽骨が破壊されている状態

「歯髄炎」「歯髄壊死」「根尖性歯周炎」には以下のような症状がみられます。

症状

  • 強い歯の痛みが改善されない
  • 歯茎の腫れ
  • 歯茎からの排膿
  • 噛んだ時の痛み
  • 歯が黒っぽく変色している
  • 歯の破折

放置するリスク

根管治療が必要な状態を放置していると、以下のようなリスクを伴います。

  • 炎症の悪化
  • 痛みの悪化
  • 抜歯のリスクが高まる
  • 発熱・リンパ節の腫れ
  • 全身疾患への影響

治療途中で「痛みがなくなったから」と治療を中断される方もいらっしゃいます。

この場合も適切な治療が完了していないため、上記のリスクを伴います。

自己判断での治療の中断は避けてください。

対応できる治療の範囲

当院の根管治療は保険診療で行う治療と自由診療で行う治療があります。

保険診療の治療でもCT撮影やマイクロスコープを用いたこだわった治療を行っていますが、

自由診療では十分な治療時間を確保し、新しい機器を用いたより精密な治療が可能です。



他院で抜歯を勧められた難症例のケースでも、
当院の精密根管治療で抜歯せずに保存できる可能性もあります。

根管治療でお悩みの方は一度当院までご相談ください。

根管治療の流れ

根管治療の流れ

STEP01

感染組織を除去

歯を削って穴を開け、細菌感染した歯髄や血管などの組織を専用の器具を用いて取り除きます この時、取り残しがないよう根管を拡大しながら丁寧に形成します。

STEP02

根管内の洗浄と消毒

器具で取り除いた感染物質が根管内に残らないよう、薬剤で洗浄します。 細菌が残っていると、再発の可能性が高まるため、慎重な治療が必要です。

STEP03

根管充填

根管洗浄によって細菌を徹底的に除去した後、細菌の侵入を防ぐために、根管内を薬剤と充填剤で密封します。空洞なく詰めることで歯の強度を高める役割もあります。

STEP04

支台築造

最終的な被せ物を装着するために、土台をつくります

STEP05

被せ物の治療

型取りをして被せ物を作製します。出来上がった被せ物を装着し、噛み合わせや適合に問題がなければ、歯科用接着剤で装着して治療完了です。

痛みや通院回数・ダウンタイム

痛みや通院回数・ダウンタイム​

根管治療は麻酔を行うため、基本的に痛みはありません。しかし、麻酔が効きづらかったり器具が神経に触れたりすることで治療中に痛みが生じることもあります。

通院回数は、神経を取り除く処置を順調に進めても1ヶ月程度は必要です。

治療後は、器具や薬剤の刺激によって炎症を起こして痛みが生じることがあります。多くの場合は数日〜1週間程度で落ち着きます

よくある根管治療が失敗する事例

根管治療が失敗となってしまうケースを紹介します。

よくある根管治療が失敗する事例​

治療が必要ないと言われた部分の
痛みや腫れが治まらない

根管治療をしているのに痛みや腫れが治まらない場合、細菌が根管内に残っている可能性が考えられますが、病巣の見落としによって「治療が必要ない」と診断されてしまうケースです。

病巣を見落としてしまう原因の1つにレントゲン撮影しか行っていないことがあります。レントゲン撮影では二次元の平面な画像しか得られないため、病巣を確認できないことがあります
より正確な診断を行うためにはCT撮影が必要です。

長期間治療しているが治らず抜歯

細菌の取り残しがあると、長期間治療しても治りません

 

この細菌の取り残しの原因の1つに、根管内を十分に確認できていないことが考えられます。根管は細かく複雑です。目視では暗くて狭いため細かな点まで確認できません。

そのため、根管治療では視野を約20倍にまで拡大できるマイクロスコープが欠かせないといえます。しかし、マイクロスコープを導入している歯科医院がまだまだ少ないのが現状です。

痛みの再発

根管治療を行ったのに再発してしまう原因は、細菌の取り残しや細菌の侵入が考えられます。

根管治療中に唾液中の細菌が侵入することで、このように再発してしまうケースが非常に多いといわれています。

根管治療では、唾液の侵入を防ぐため治療する歯を隔離するラバーダムが必要です。

根管治療が原因で抜歯になる

根管治療時に器具が貫通して穴が空いてしまう「パーフォレーション」が原因です。穴が空いてしまうと、そこから細菌が侵入してくるため、いつまでも治らず最悪の場合は抜歯になってしまいます。

 

パーフォレーションが起きている場合は、MTAセメントという特殊なセメントで封鎖し修復する治療を行います。この治療によって抜歯を回避できる可能性があります。

ココロデンタル恵比寿の根管治療について

ココロデンタル恵比寿の根管治療について​
一般的な根管治療の特徴 当院の精密根管治療の特徴
病巣を確認する検査 レントゲン撮影 レントゲン撮影とCT撮影
治療方法 ・肉眼による治療
・ラバーダムを使用しない
・マイクロスコープを用いた治療
・ラバーダムを使用
・歯根端切除術に対応
・根管治療を専門とする分院に紹介することが可能
被せ物 銀歯など保険診療内のもの セラミックやジルコニアなど
強度・審美面・耐久性に優れたものを使用

Scroll →

マイクロスコープを用いた治療

根管内は暗くて狭いため、肉眼では確認しづらい難点があります。 しかし、マイクロスコープを用いて治療を行うことで、肉眼では見えなかったものをしっかりと確認できるようになるため、適切な治療が可能になります。
マイクロスコープを用いた根管治療は成功率が大幅にアップするともいわれています。

マイクロスコープとは

歯科用顕微鏡のことで、
術野を4〜20倍に拡大して確認することができます。

「医療機器番号:プリマDNT Nuvar13B2X10261000300」

マイクロスコープを用いて治療するメリット

  • 肉眼では見えない部分が確認できる
  • 再発リスクを軽減できる
  • より正確なアプローチが可能

ラバーダムを用いた治療

治療する歯に唾液や細菌が侵入するのを防ぐため、新たな細菌感染を予防することができます。

根管治療の精度を高めるためには欠かせない処置ですが、日本では保険制度の問題から対応していない歯科医院が多いといえます。

ラバーダムを用いて治療するメリット

  • 唾液や細菌の侵入を防ぐ
  • 無菌状態を維持しやすい
  • 器具・薬剤の誤飲を防ぐ
  • 口腔粘膜を保護できる
  • 治療をスムーズに行える

ラバーダムとは

ラバーダムとは、治療する歯だけを露出するためにゴム状のシートを装着することです。治療する歯の視野を確保するだけでなく、細菌の侵入を防いだり、器具などの誤飲を防いだり患者様の安全を確保する目的もあります。

CTを用いた治療

CTを用いることで、一般的なレントゲン撮影では確認できない根管の構造や病変の状態を確認できるようになります。

CT撮影を行うことで、的確な診断と適切な治療計画が可能になり、根管治療の精度が上がります。特に難症例の場合、CT撮影による診断が欠かせません。

CTを用いて治療するメリット

  • 根管の数や形状の確認ができる
  • 病巣の有無を正確に診断できる
  • 病変の見落としを防げる
  • 歯周組織の状態を確認した治療ができる

痛みに配慮した麻酔

当院は麻酔時の痛みにも配慮していますので、痛みが心配な方でも不安なく治療を受けていただけます。
麻酔で痛みが生じるのは、針が皮膚に刺さる時と、麻酔液を注入する時です。

麻酔時のチクッとした痛みを緩和させるために、当院では表面麻酔剤を歯茎に塗布します。

表面麻酔剤を塗布し歯茎の感覚が痺れてから、細い注射針を用いて麻酔液を注入します。注入時は強い圧力がかかると痛みが出やすくなるため、注入圧をコントロールしながらゆっくりと少しずつ行うことを心がけています。

表面麻酔剤

歯科用表面麻酔剤プロネスパスタアロマ

麻酔剤

歯科用局所麻酔剤オーラ注歯科用カートリッジ1.8mL

医療機器

カートリッジシリンジタイプ2 医療機器届出番号11B1X1000648D002

悩む時間を、解決の時間に変えましょう。

お気軽にお問い合わせください

不安を抱えたまま時間が過ぎる前に、私たちにお聞かせください。 丁寧にお話を伺い、あなたにとって最善の方法を一緒に見つけます。早めの一歩が、あなたの笑顔を守ります。

根管治療の保険適用

根管治療の保険適用​

根管治療は保険適用で治療が可能ですが、より精密な治療を行うためには自費診療の治療が必要になります。

保険診療の治療と自費診療による精密根管治療の違いについて紹介します。

保険診療の範囲

保険診療の治療は、使用する薬剤や治療方法に制限があります。そのため、十分な治療を行えないことがあるのです。

当院では、保険診療でもCT撮影を行い、マイクロスコープを用いた治療行っていますが、難易度が高い症例では自費診療による精密根管治療が適しているケースもあります。

自費による精密根管治療

自費診療による精密根管治療は、十分な治療時間を確保し、CT撮影やマイクロスコープの使用はもちろんのこと、ラバーダム防湿やその他の新しい機器を用いた治療を行っています。
もちろん、自費診療による精密根管治療でなくても
保険診療で対応可能なケースもありますので、まずは状態を確認した後に詳しくご説明いたします。

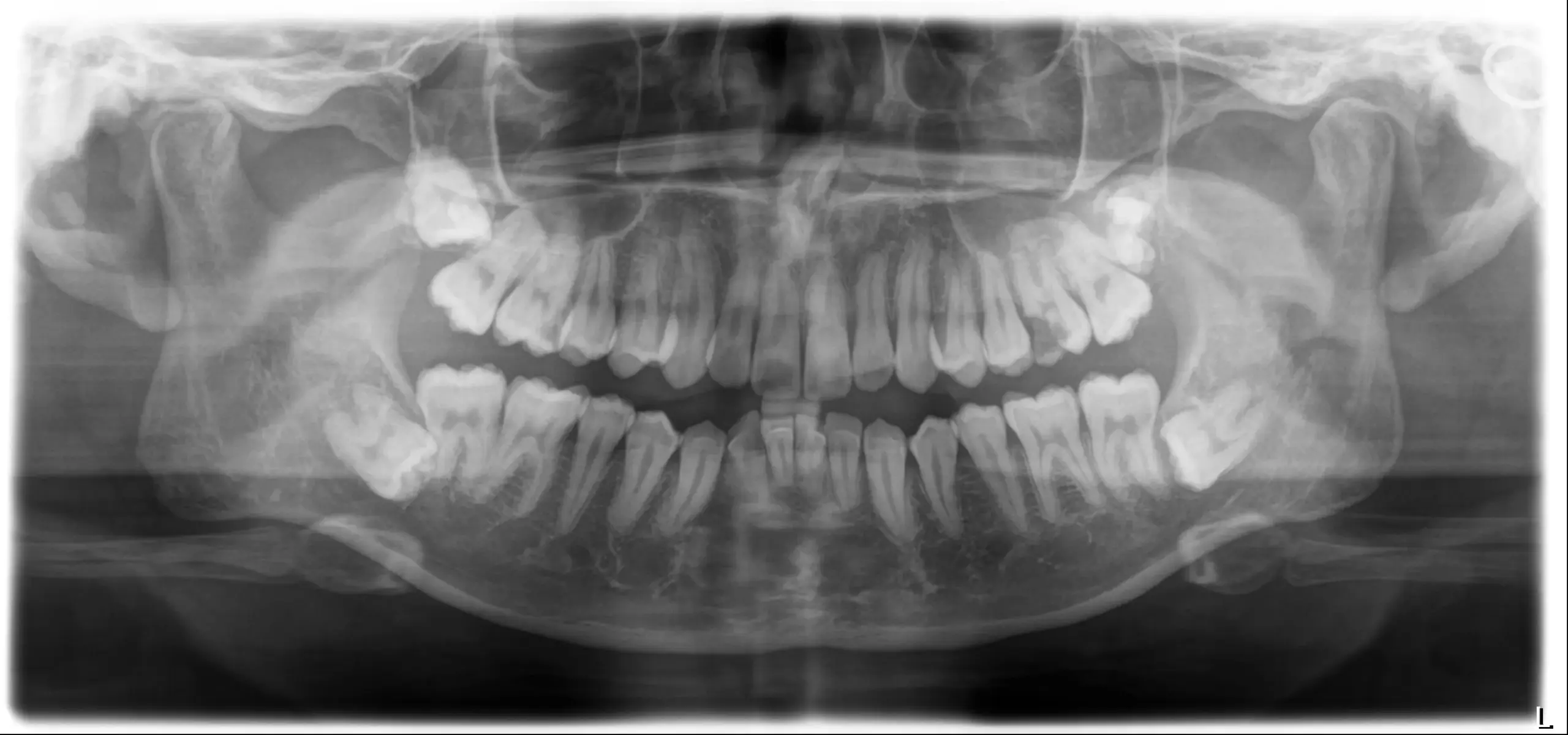
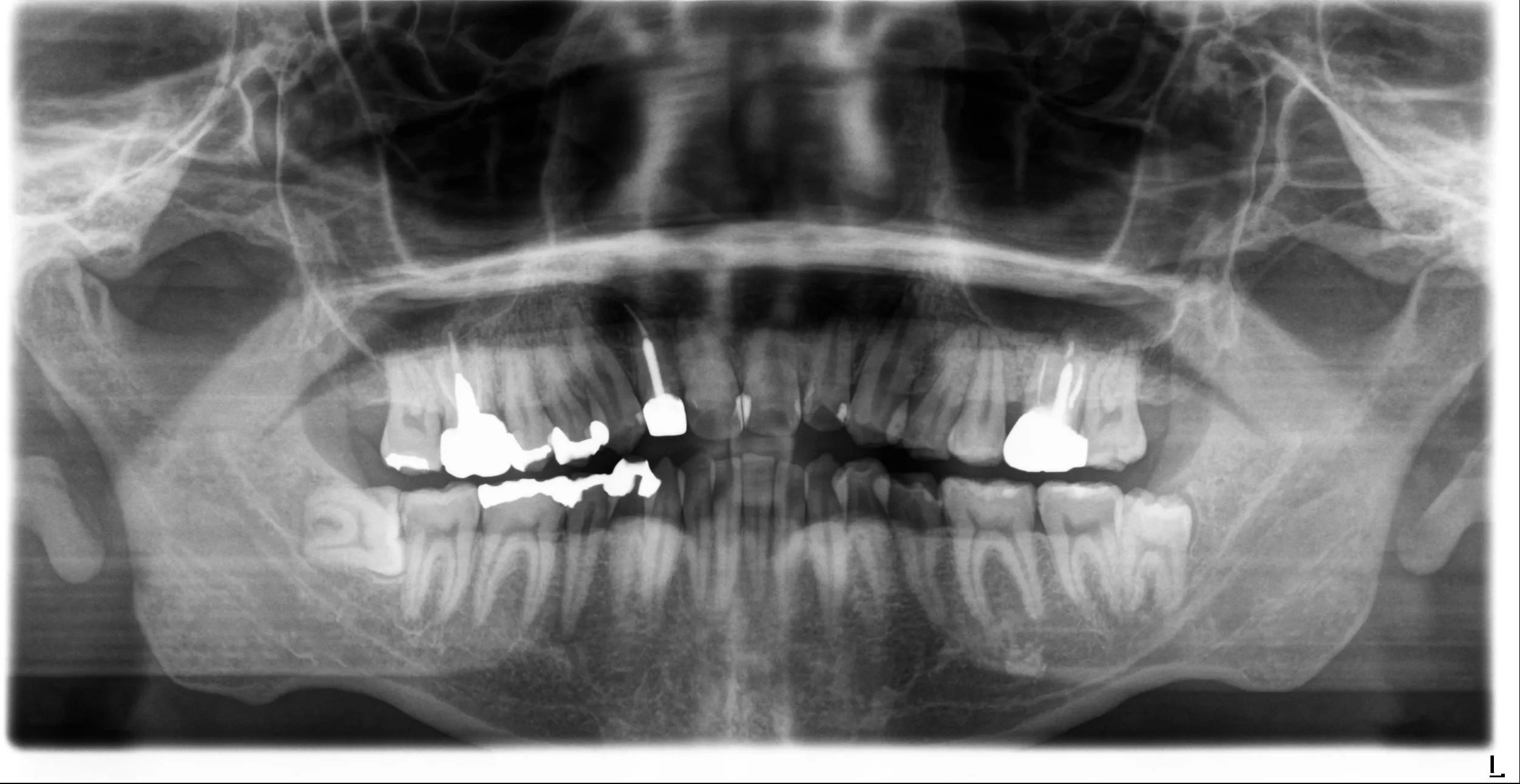
症例

before

after

CASE 01

精密根管治療

  • 施術概要

  • 金額

  • 期間・回数

  • リスク・副作用

よくある質問

当院で、根管治療についてよくいただく質問をまとめさせていただきました。ご参照ください。

治療は痛いですか?

麻酔を行うため、基本的に痛みが出ることはありません。 しかし、炎症が強くて麻酔が効きづらかったり、器具で刺激されたりすることによって痛みが出ることもあります。

通院回数や期間はどのくらい?

歯の状態によって異なります。歯の神経をとる「抜髄」という処置の場合は1ヶ月程度、再度根管治療が必要になった時に行う「感染根管治療」という処置の場合は2〜3ヶ月ほどかかることもあります。

妊娠中でも受けられますか?

妊娠中でも根管治療を受けることは可能ですが、一般的に安定期に治療を行います。 ただし、強い痛みが出ている場合などは安定期以外にも、母子の状態を考慮しながら適切な治療を行いますので我慢せずにご相談ください。

再発させないために気をつけることは?

再発を防ぐためには、根管内に細菌が侵入しないようにすることが大切です。ラバーダムやマイクロスコープを用いた丁寧な治療と、適切な口腔ケアや管理が必要です。

仮詰め(仮封)が取れた/欠けたら?

すぐに歯科医院へ連絡し、歯科医師の指示に従いましょう。仮封が取れたまま放置していると細菌が侵入し繁殖してしまう恐れがあります。次の診察日まで放置せずに対処することが大切です。

悩む時間を、解決の時間に変えましょう。

お気軽にお問い合わせください

不安を抱えたまま時間が過ぎる前に、私たちにお聞かせください。 丁寧にお話を伺い、あなたにとって最善の方法を一緒に見つけます。早めの一歩が、あなたの笑顔を守ります。

この記事の執筆・監修者プロフィール

ココロデンタル恵比寿院長 小林 弘樹
ココロデンタル恵比寿
院長

小林 弘樹

Kobayashi Hiroki

私が最も大切にしているのは、あなたの「時間」を無駄にしないことです。 短期間での完了をめざしながら、質も妥協せず、一回の診療には必要に応じて十分な時間を確保し、より良い治療を丁寧に提供します。 不安や痛みには先回りして配慮し、納得のうえで決める。その積み重ねが、日々の生活リズムを崩さずに健康を守る最短路だと考えています。恵比寿で、あなたの時間も笑顔も、大切に守り続けます。

詳しくはこちら
日祝
10:00~13:30
15:00~21:30 ⚪︎

※⚪︎:土曜日の午後は14:30〜18:00