恵比寿駅西口徒歩1分の歯医者・矯正歯科|ココロデンタル恵比寿

〒150-0021 東京都渋谷区恵比寿西1丁目9−7 グランベル恵比寿ビル WEST10F

Menu

ホワイトニング

ホワイトニングとは、歯を削らず、薬剤で内外の色素を分解し、加齢や飲食による黄ばみを内側から整える方法です。
ココロデンタル恵比寿では、イベント日程や目標シェードに合わせてオフィス/ホーム/デュアルを最適設計します。仕上がりの質感にこだわり、生活習慣のアドバイスも含めて色戻りを抑えるフォローを行います。

ココロデンタル恵比寿のホワイトニングへこだわり

  • 国家資格を持つ歯科医院だからこそ使用できる薬剤!
    より効果の高いホワイトニング剤を使用

  • 即効性と持続性を両立!

  • 虫歯など口腔内環境を診断した上で施術!
    見た目の白さだけでなく「健康な白さ」を安全に提供!

ココロデンタル恵比寿院長 小林 弘樹
ココロデンタル恵比寿
院長

小林 弘樹

Kobayashi Hiroki

私が最も大切にしているのは、あなたの「時間」を無駄にしないことです。 短期間での完了をめざしながら、質も妥協せず、一回の診療には必要に応じて十分な時間を確保し、より良い治療を丁寧に提供します。 不安や痛みには先回りして配慮し、納得のうえで決める。その積み重ねが、日々の生活リズムを崩さずに健康を守る最短路だと考えています。恵比寿で、あなたの時間も笑顔も、大切に守り続けます。

目次

ホワイトニングとは

ホワイトニングの症例写真
ホワイトニングとは、歯を削らずに、薬剤を用いて歯を漂白し、白くする方法です。 歯磨きやクリーニングなどでは改善できない、飲食物による着色や加齢による黄ばみを改善できます。 歯を削らないため歯に大きな負担をかけることなく、歯の内側から白くして、自然な白さを目指せる方法です。

こんな方におすすめ

このようなお悩みがある方にホワイトニングがおすすめです

  • 歯の黄ばみが気になる   
  • コーヒーや紅茶などの着色が気になる   
  • 歯を削らずに白くしたい
  • 結婚式前に歯を白くしたい
  • 就職前に歯を白くしたい
  • 自分の口元に自信を持ちたい
  • 清潔感がほしい

ホワイトニングが向いていない(効果を実感しづらい)人

  • 知覚過敏の症状がある人
  • 人工歯が入っている人
  • 歯の神経がない人
  • 口腔ケアができない人
  • 虫歯や歯周病の人

  

※無カタラーゼ症の方や、妊娠中・授乳中の方はホワイトニングの施術を受けられません。

ホワイトニングとクリーニングの違い

クリーニングとホワイトニングの違い
ホワイトニングはクリーニングの施術を受けるよりさらに白い歯を目指せます。 クリーニングは、虫歯や歯周病の予防のほかに、着色を除去する効果があります。着色を除去することで本来の歯の白さを目指せる施術です。 一方で、ホワイトニングは歯を白くする審美的な目的で行われる施術です。 漂白を行うため、本来の歯の色よりもさらに白い歯を目指せます

歯科医院とサロンでのホワイトニングの違い

シェードガイド

歯科医院以外にも美容サロンでもホワイトニングは導入されています。

しかし、この美容サロンで行われるホワイトニングは歯科医院で行われるホワイトニングとは全くの別物です。

 

歯科医院では漂白効果がある過酸化水素などの薬剤を使用します。一方で、歯科医師が在籍していない美容サロンでは法律によって過酸化物を使用できないため、ポリリン酸ナトリウムや酸化チタンなどの薬剤が使用されています。

ポリリン酸ナトリウムや酸化チタンには漂白効果はないため、歯科医院でのホワイトニングのような白い歯を目指すことはできません。着色汚れを分解・除去する効果にとどまるため、歯本来の色に戻せてもそれ以上に白くすることはできません。

 

また、患者様の口の中に触れるためには、歯科医師または歯科衛生士の国家資格が必要です。国家資格を保有していない美容サロンではセルフで施術を行わなればなりません

ホワイトニングで歯が白くなる仕組み

ホワイトニングのブリーチング効果とマスキング効果によって歯が白くなります

ブリーチング効果とは、過酸化水素や過酸化尿素によって、歯の表面の着色汚れや歯の内側の色素を分解する効果です。

そして、マスキング効果とは、エナメル質の構造を変化させ、光の乱反射によって歯を白く見せる効果です。

ホワイトニングのメニュー

ホームホワイトニング薬剤

ホワイトニングには以下の3つの方法があります。

  • オフィスホワイトニング
  • ホームホワイトニング
  • デュアルホワイトニング

それぞれの方法によって、効果や持続期間などが異なるため、患者様のご希望に合った方法を選択することが大事です。

オフィスホワイトニング ホームホワイトニング デュアルホワイトニング
場所 歯科医院で行う 自宅で行う 歯科医院と自宅の両方で行う
施術時間 1時間30分〜2時間程度/1回 毎日2時間程度のホワイトニングを2週間程度継続する 30分〜1時間程度/1回
毎日2時間程度のホワイトニングを2週間程度継続する
持続期間 1〜2年程度 半年〜1年程度 1〜2年程度
施術方法 ホワイトニング薬剤を歯の表面に塗布して、専用のライトを照射する ホワイトニング薬剤を塗布したマウスピースを毎日2時間程度装着する オフィスホワイトニングを行った後にホームホワイトニングを行う
特徴 即効性がある 持続性がある 即効性も持続性も期待できる
費用相場 30,000〜70,000円程度 20,000〜50,000円程度 50,000〜100,000円程度

Scroll →

オフィスホワイトニング

オフィスホワイトニング

オフィスホワイトニング

持続期間

3〜6ヶ月程度

施術概要

歯科医院で行うホワイトニングです。 1回1時間30分〜2時間程度の施術時間です
1回でも効果が期待できますが、より白さを求める方は3回程度施術を受けられることをおすすめします。

さらに詳しく見る

Merit

  • 即効性が期待できる
  • 歯科医師または歯科衛生士が施術を行うため安心できる
  • 歯科医院で施術を受けるため楽

Demerit

  • 通院の必要がある
  • 色戻りがしやすい
  • ホームホワイトニングより費用が高め

料金・保証内容

35,200(税込)

施術の流れ

Step01

施術の流れや注意点をお伝えします。

施術の流れを院長が説明しています

Step02

ホワイトニング薬剤が浸透しやすいよう、事前にクリーニングを行います。

事前クリーニングをしています

Step03

ホワイトニング前の歯の色をシェードガイドを用いて確認し、写真撮影を行います。

シェードガイドと実際の歯を比較しています

Step04

ホワイトニング薬剤が歯茎に付着しないよう、歯茎を保護します。

歯茎の保護を行います

Step05

ホワイトニング薬剤を歯面に塗布してから、専用の光を照射します。

薬剤をと専用の光でホワイトニングを行います

Step06

歯茎の保護剤を除去した後、歯面清掃を行います。

歯面の清掃を行います

Step07

ホワイトニング後の歯の色をシェードガイドで確認し、写真撮影を行います。ビフォーアフターを比較します。

実際に色が変わったか再度シェードガイドで確認します

Step08

ホワイトニング後の注意点についてお話しします。

ホワイトニングの効果を長持ちさせるための注意点をお伝えします

ホームホワイトニング

ホームホワイトニング

ホームホワイトニング薬剤

施術概要

専用のマウスピースを作成し、ご自宅で患者様自身に行っていただくホワイトニングです。 1回2時間程度のホワイトニングを2週間程度続けていただきます 。

さらに詳しく見る

持続期間

6ヶ月~1年程度

施術方法

型取りをして専用のマウスピースを作成します。出来上がったマウスピースとホワイトニング薬剤をお渡しし、自宅でホワイトニングを行っていただきます。

メリット・デメリット

Merit

  • 自分の好きなタイミングで行える
  • 通院回数が少なくて済む
  • 効果の持続性が高い

Demerit

  • 毎日継続して行う必要がある
  • 即効性が期待できない
  • 自分で行わなければならない

特徴

持続性が期待できるホワイトニングです。 自宅でご自身で行えるため、忙しくて通院が難しい方や、好きなタイミングでホワイトニングをしたい方におすすめです。

料金・保証内容

33,000 円 ~ (税込)

上下セット(ジェル4本込)…33,000円
追加ジェル1本…2,200円

Step01

ホワイトニングを行う前に「トータルチェック&クリーニングコース」または「クリーニングコース」を受けていただきます。

クリーニングを行っています

Step02

ホームホワイトニングの施術方法や注意点についてお伝えします。

ホームホワイトニングについて詳しくご説明します

Step03

型取りを行い、専用のマウスピースを作成します。

ホワイトニング用のマウスピースです

Step04

ホワイトニング前の歯の色をシェードガイドで確認し、写真撮影を行います。

シェードガイドで確認します

Step05

ホワイトニングジェルとマウスピースをお渡しし、使用方法や注意点の説明を行います。

ホームホワイトニング用のマウスピースをお渡し

Step06

2週間後〜4週間後に来院していただき、ホワイトニング後の歯の色をシェードガイドを用いてチェックします。
写真撮影を行い、ホワイトニング前の歯の色と比較します。

シェードガイドで確認します

デュアルホワイトニング(オフィスホワイトニング+ホームホワイトニング)

デュアルホワイトニング(オフィスホワイトニング+ホームホワイトニグ)

ホームホワイトニング薬剤

施術概要

オフィスホワイトニングとホームホワイトニングの両方を行う方法です。

さらに詳しく見る

持続期間

1〜2年程度

施術方法

最初にオフィスホワイトニングを行った後にホームホワイトニングに移行します。

メリット・デメリット

Merit

  • 即効性がある
  • 持続性もある
  • より白い歯を目指せる

Demerit

  • 施術期間が長くなる
  • 他のホワイトニングに比べて費用が高め

特徴

即効性と持続性の両方を得られるホワイトニングです。 より白い歯を目指したい方におすすめです。

料金・保証内容

58,200(税込)

オフィスホワイトニング+ホームホワイトニング

ホワイトニングの症例紹介

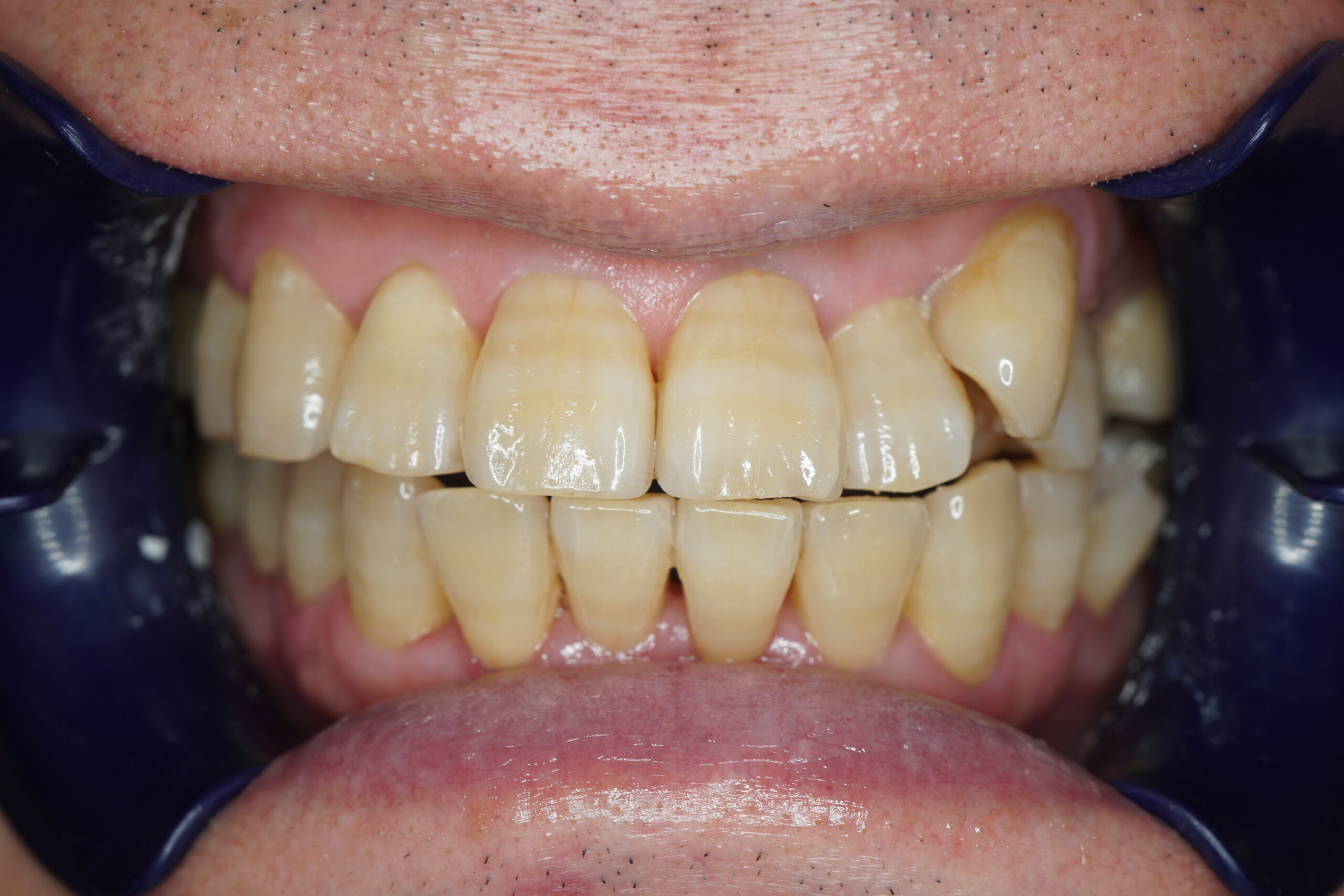
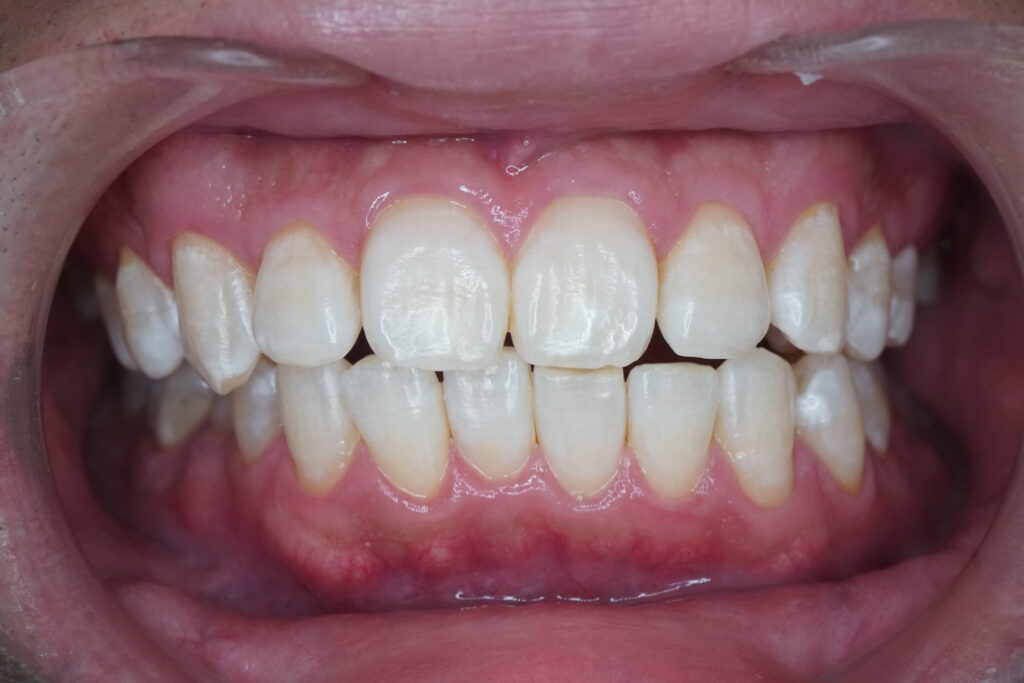
before

after

CASE 01

オフィスホワイトニング

  • 施術概要

    歯科医院で専用薬剤と光照射を行い、短時間で歯を明るく整えるオフィスホワイトニングを実施

  • 金額

    35,200円(税込)

  • 期間・回数

    1回の通院

  • リスク・副作用

    一時的に歯が歯がしみたり、痛みを生じる

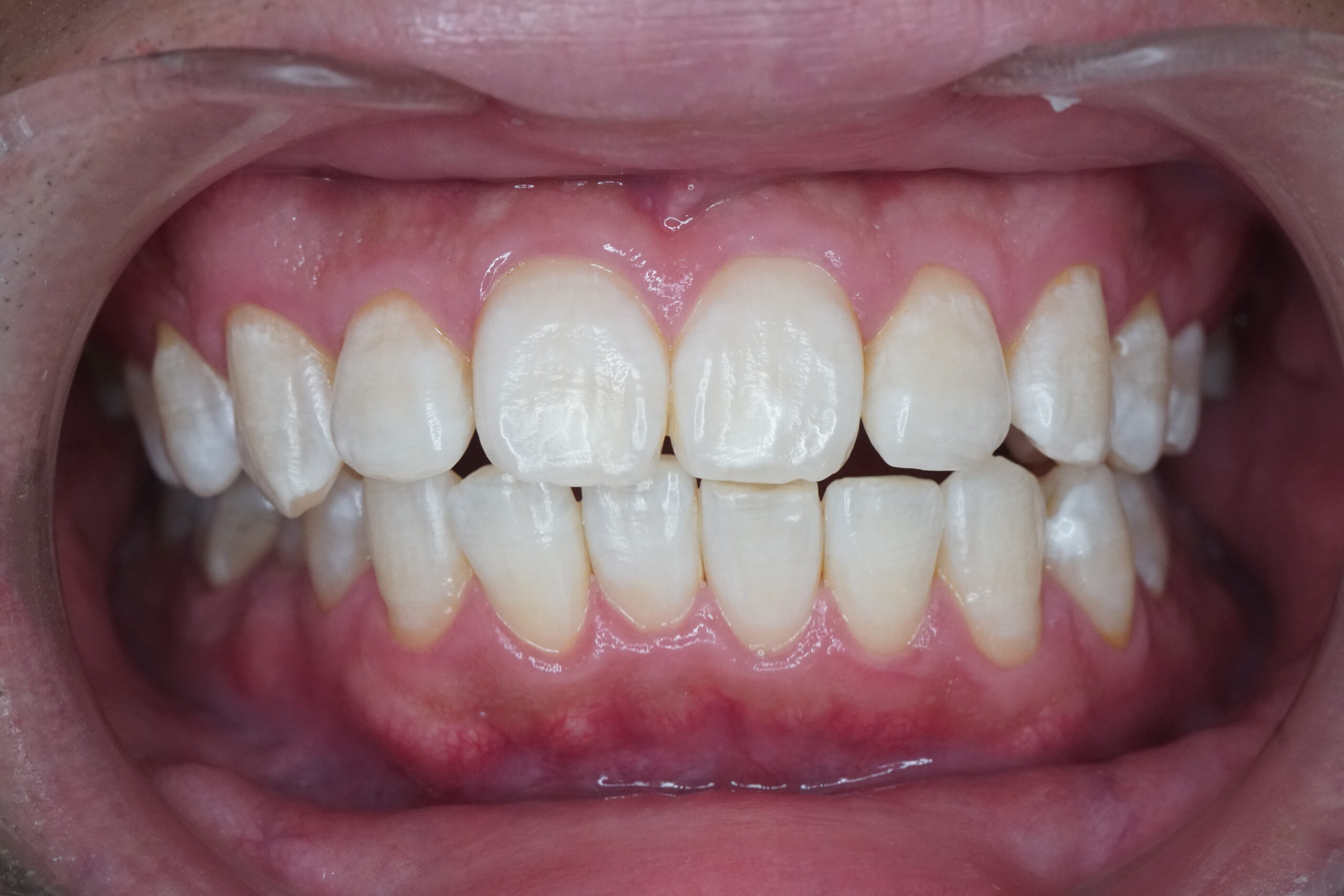
before

after

CASE 02

オフィスホワイトニング

  • 施術概要

    歯科医院で専用薬剤と光照射を行い、短時間で歯を明るく整えるオフィスホワイトニングを実施

  • 金額

    35,200円(税込)

  • 期間・回数

    1回の通院

  • リスク・副作用

    一時的に歯がしみたり、痛みを生じる

before

after

CASE 03

オフィスホワイトニング

  • 施術概要

    歯科医院で専用薬剤と光照射を行い、短時間で歯を明るく整えるオフィスホワイトニングを実施

  • 金額

    35,200円(税込)

  • 期間・回数

    1回の通院

  • リスク・副作用

    一時的に歯が歯がしみたり、痛みを生じる

ホワイトニングのリスク・副作用

ホワイトニングのリスク・副作用

  • 知覚過敏のような症状が出ることがある
  • 薬剤が粘膜に付着することで炎症を起こすことがある
  • 歯の質によって色ムラが生じることがある
  • ホワイトニングは永久的な効果はないため、色戻りが起こる

よくあるご質問

当院で、ホワイトニングについてよくいただく質問をまとめさせていただきました。ご参照ください。

ホワイトニングはしみる?

ホワイトニング薬剤が象牙質に達することで、神経が刺激されてしみることがあります。

虫歯や歯周病があってもホワイトニングは大丈夫?

虫歯や歯周病がある場合、ホワイトニング薬剤の刺激によって痛みが出ることがあるため、先に虫歯や歯周病治療が必要です。

市販のホワイトニング製品との違いは?

市販のホワイトニング製品には漂白効果はありません。着色汚れを分解する効果があるため、本来の歯の白さに戻すことはできますが、それ以上に歯を白くすることはできません。

知覚過敏でもホワイトニングできますか?

知覚過敏がある方はホワイトニングを行うことでより知覚過敏の症状が強くなる可能性があります。

詰め物や被せ物も白くなりますか?

詰め物・被せ物などの人工歯は白くなりません。

ココロデンタル恵比寿でのホワイトニングの特徴

カウンセリング

恵比寿で一番、

あなたの”時間”を想う歯医者

恵比寿西口から
徒歩30秒

平日21時まで
土曜18時まで
診療

「完全個室」で
プライバシーに
配慮

記事のまとめ

ココロデンタル恵比寿のホワイトニングは、大切な日から逆算した計画で、オフィス/ホーム/デュアルホワイトニングから最適解を提案します。目標シェードを事前に共有、目標の白さ・質感をカウンセリングで仕上がりの質感まで明確化することで、自然で上品な白さを追求します。

色戻りを見据えた生活アドバイスなど一体で伴走し、忙しい毎日でも無理なく続けられる素敵な笑顔づくりを支えます。 恵比寿駅から徒歩1分なので通いやすく、大切な瞬間にふさわしい表情へ導きます。

A place to restore both mind and body dentist in Ebisu that Values your time the most.

この記事の執筆・監修者プロフィール

ココロデンタル恵比寿院長 小林 弘樹
ココロデンタル恵比寿
院長

小林 弘樹

Kobayashi Hiroki

私が最も大切にしているのは、あなたの「時間」を無駄にしないことです。 短期間での完了をめざしながら、質も妥協せず、一回の診療には必要に応じて十分な時間を確保し、より良い治療を丁寧に提供します。 不安や痛みには先回りして配慮し、納得のうえで決める。その積み重ねが、日々の生活リズムを崩さずに健康を守る最短路だと考えています。恵比寿で、あなたの時間も笑顔も、大切に守り続けます。

詳しくはこちら

悩む時間を、解決の時間に変えましょう。

お気軽にお問い合わせください

不安を抱えたまま時間が過ぎる前に、私たちにお聞かせください。 丁寧にお話を伺い、あなたにとって最善の方法を一緒に見つけます。早めの一歩が、あなたの笑顔を守ります。

日祝
10:00~13:30
15:00~21:30 ⚪︎

※⚪︎:土曜日の午後は14:30〜18:00