恵比寿駅西口徒歩1分の歯医者・矯正歯科|ココロデンタル恵比寿

〒150-0021 東京都渋谷区恵比寿西1丁目9−7 グランベル恵比寿ビル WEST10F

Menu

セラミック治療

ココロデンタル恵比寿のセラミック治療は、審美面と機能面にこだわった治療を追求しています。多数の種類の補綴物(ほてつぶつ)を用意していますので、一人ひとりのお口の状態に適した素材の提案が可能です
「歯の色が気になる」「白く美しい歯になりたい」などの
お悩みがある方はぜひ当院までご来院ください。

ココロデンタル恵比寿の
セラミック治療へのこだわり

  • セラミックが長持ちするための形成技術!再発を少なくする治療

  • 患者様個々に合わせた、噛み合わせ、歯ぎしりを考慮した材質の選択

  • 勉強と経験で差が出る!症例数と経験数に裏付けされた治療

ココロデンタル恵比寿院長 小林 弘樹
ココロデンタル恵比寿
院長

小林 弘樹

Kobayashi Hiroki

私が最も大切にしているのは、あなたの「時間」を無駄にしないことです。 短期間での完了をめざしながら、質も妥協せず、一回の診療には必要に応じて十分な時間を確保し、より良い治療を丁寧に提供します。 不安や痛みには先回りして配慮し、納得のうえで決める。その積み重ねが、日々の生活リズムを崩さずに健康を守る最短路だと考えています。恵比寿で、あなたの時間も笑顔も、大切に守り続けます。

目次

セラミック治療とは

セラミック治療とは、 審美面・機能面に優れたセラミック素材の人工歯を装着する治療です。
天然歯のような自然な美しさを実現できる点が大きなメリットです。
セラミック治療とは

金属を使用しない治療

メタルフリーのセラミックであれば、金属を使用しないため金属アレルギーの心配もいりません。金属を使用しない事で、天然歯のような透明感を実現できたり、歯茎の黒ずみを防げたりするメリットもあります。

ただし、セラミック治療には金属を使用する素材もあるため注意が必要です。 例えば「メタルボンド」という種類は、金属フレームの上にセラミックを焼き付けています。金属を使用しない治療を希望される方は、セラミック素材の選択に気をつけましょう。

セラミックのインレー

歯を抜かずになるべく残す治療

セラミックは生体親和性が高く、適合性も優れている歯にやさしい治療です。保険診療に比べて再治療のリスクも少ないため、歯を失うリスクを抑えられるといえるでしょう。
また、セラミックの種類によっては歯の切削量を抑えられるものもあります。歯を長持ちさせるためにはより多くの歯質を残すことが大切です。

抜歯をしない治療

変色・劣化が起こりにくい

セラミックは変色しにくく、経年劣化もほとんどありません。そのため、耐久性が高く美しい状態を維持しやすい治療です。
ただし、ハイブリッドセラミックのように変色や経年劣化のリスクがある素材もありますので、素材の特徴を理解しておくことが大切です。

実際のセラミック治療の症例

むし歯や歯周病のリスクを抑える

セラミックの表面は滑らかで汚れが付着しにくい特徴があります。
また、歯との適合性もよいため、細菌が侵入しづらく、むし歯や歯周病の発生リスクを抑えられるメリットがあります。

酷い虫歯

保険診療との違い

保険診療とは、機能回復のために行われる必要最低限の治療です。セラミック治療は機能回復以外にも審美面にこだわった治療が可能であるため、保険が適用されません。 機能面・審美面のどちらも求める方に適した治療です。

「セラミック治療」歯科医院を選ぶ際の注意点

ココロデンタル恵比寿のロゴ
セラミック治療を受ける際の歯科医院選びは以下の点に気をつけましょう。
  • 取り扱っているセラミックの種類
  • 治療時間の確保
  • デメリットについての説明

セラミック治療は審美面だけでなく歯の健康面、機能面も補う治療です。

そのため、セラミックの種類選びは慎重に行う必要があります。

セラミックには多数の素材があり、一人ひとりの噛み合わせや口腔環境によって適切な素材は異なります。複数のセラミック素材を取り扱っている歯科医院でないと、適切な素材選びが限られてしまいます。

また、セラミック治療は素材が優れているだけでは、お口にとって良い治療とはいえません

当院では噛み合わせを考慮することはもちろん、舌や唇などとの動的調和も考えて歯の形を整えます。そのため、歯の形成には時間がかかりますし、適合の良い補綴物を作製するために型取りも慎重に行っています。

Demerit

セラミック治療を受ける場合、デメリットについてもよく把握しておかなければなりません。 セラミック治療は自分の歯を削らなければいけないという大きなデメリットがあります。歯は削れば削るほど脆くなってしまい、寿命も短くなります

これらのデメリットについても説明してくれる歯科医院でないと、後で後悔してしまうことがあります。

セラミック治療はこんな方におすすめ

セラミック治療はこんな方におすすめ

以下のようなお悩みがある方はセラミック治療がおすすめです。

  • 歯を白くしたい
  • 詰め物や被せ物が目立つのが嫌
  • 再度虫歯になりたくない
  • 歯の形も一緒に整えたい
  • 金属アレルギーが心配
  • 治療した歯を長持ちさせたい
  • 見た目を重視したい
  • 短期間で歯を白くしたい
  • 短期間で歯並びを整えたい

ココロデンタル恵比寿で採用している
セラミック一覧

当院で採用しているセラミック治療の種類をご紹介します。

詰め物(インレー)

ジルコニア

  • 強度

  • 美しさ

  • 耐久性

  • 安全性

治療概要

ジルコニアは非常に丈夫な素材です。金属を使用しなくても強度があるため、噛む力が強い方でも治療が可能です。白色であるため補綴物が目立ちにくく、金属を使用しないため金属アレルギーの心配も不要です。

さらに詳しく見る

こんな方におすすめ

  • 丈夫な白い歯を希望する人
  • 噛む力が強い人
  • 歯ぎしりや食いしばりの癖がある人

メリット・デメリット

Merit

  • 非常に丈夫な素材
  • 噛む力が強い人でも治療可能
  • 金属アレルギーの心配が不要
  • 天然歯に近い色で審美性に優れている
  • 汚れが付着しにくく、虫歯や歯周病の予防になる

Demerit

  • 高額になりやすい
  • 硬いために噛み合う歯がすり減る恐れがある
  •   

料金・保証内容

77,000 円 ~ (税込)

保証5年

EMAX(イーマックス)

  • 強度

  • 美しさ

  • 耐久性

  • 安全性

治療概要

金属を使用せずセラミックのみで作られているため審美性に優れた素材です。 ジルコニアに比べると強度は劣りますが、審美性はジルコニアより優れています。 見た目にこだわった治療を重視する方に向いているでしょう。

さらに詳しく見る

こんな方におすすめ

  • 見た目にこだわった治療を重視する人
  • 金属アレルギーが心配な人
  • 噛む力が強すぎない人

メリット・デメリット

Merit

  • 審美性に優れている
  • 金属アレルギーの心配が不要
  • 耐久性がある
  • 汚れが付着しにくく、虫歯や歯周病の予防になる

Demerit

  • 高額になりやすい
  • 強い衝撃によって割れたり欠けたりする可能性がある
  •   

料金・保証内容

77,000 円 ~ (税込)

保証5年

ガラスセラミック

  • 強度

  • 美しさ

  • 耐久性

  • 安全性

治療概要

ジルコニアやEMAXと比べると、審美面や強度が少し劣りますが、費用を抑えて白い歯の治療が可能です。強度があるため、臼歯部全般に適用できる点が特徴です。

さらに詳しく見る

こんな方におすすめ

  • 費用を抑えたいけど白い歯にしたい人
  • 金属アレルギーが心配な人
  • 噛む力が強すぎない人

メリット・デメリット

Merit

  • 白い歯を実現できる
  • 金属アレルギーの心配が不要
  • 強度がある
  • 汚れが付着しにくく、虫歯や歯周病の予防になる

Demerit

  • 高額になりやすい
  • 強い衝撃によって割れたり欠けたりする可能性がある
  •   

料金・保証内容

66,000 円 ~ (税込)

保証4年

ハイブリッドセラミック

  • 強度

  • 美しさ

  • 耐久性

  • 安全性

治療概要

セラミックと樹脂を混ぜ合わせてできた素材であるため、審美性や強度が他の素材よりも劣ります。 ただし、金属を使用せずに白い歯にでき、費用も抑えられます。 噛む力が強くない方であれば適用可能です。

さらに詳しく見る

こんな方におすすめ

  • 白い歯であれば素材にこだわらない人
  • 噛む力が強すぎない人

メリット・デメリット

Merit

  • 白い歯を実現できる
  • 金属アレルギーの心配が不要
  • 自費治療のなかでも費用を抑えられる方法

Demerit

  • 割れたり欠けたりする可能性がある
  • 経年劣化しやすい
  • 変色の可能性がある
  •   

料金・保証内容

55,000 円 ~ (税込)

保証3年

被せ物(クラウン)

フルオーダーセラミッククラウン

  • 強度

  • 美しさ

  • 耐久性

  • 安全性

治療概要

患者様のご希望を伺い、歯の色や形などをフルオーダーで作製します。セラミックのみで作られた素材であるため、天然歯と見分けがつかないほど美しい仕上がりが可能です。前歯部など審美性を求める治療に適しています。

さらに詳しく見る

こんな方におすすめ

  • とにかく美しい仕上がりを希望する人
  • 歯の色や形などこだわりがある人
  • 前歯の治療を行う人

メリット・デメリット

Merit

  • 審美性が非常に高い
  • 金属アレルギーの心配が不要
  • 耐久性がある
  • 汚れが付着しにくく、虫歯や歯周病の予防になる

Demerit

  • 高額になりやすい
  • 強い衝撃によって割れたり欠けたりする可能性がある
  •   

料金・保証内容

187,000 円 ~ (税込)

保証5年

セミオーダーセラミッククラウン

  • 強度

  • 美しさ

  • 耐久性

  • 安全性

治療概要

セラミックのみで作られた被せ物(クラウン)です。フルオーダーセラミッククラウンと比較すると審美性が少し劣りますが、それでも十分な美しさがあります。 歯の色調によっては天然歯と変わらない自然な仕上がりが可能です。

さらに詳しく見る

こんな方におすすめ

  • 白くてきれいな歯を希望する人
  • 虫歯や歯周病の再発を避けたい人
  • 噛む力が強過ぎない人

メリット・デメリット

Merit

  • 審美性が非常に高い
  • 金属アレルギーの心配が不要
  • 耐久性がある
  • 汚れが付着しにくく、虫歯や歯周病の予防になる

Demerit

  • 高額になりやすい
  • 強い衝撃によって割れたり欠けたりする可能性がある
  •   

料金・保証内容

165,000 円 ~ (税込)

保証5年

セラミッククラウン

  • 強度

  • 美しさ

  • 耐久性

  • 安全性

治療概要

セラミックのみで作られた被せ物(クラウン)です。単色で作られるため、セミオーダーセラミッククラウンよりも審美性が少し劣るものの、強度や耐久性は十分にあります。 それほど目立たない奥歯に適しているでしょう。

さらに詳しく見る

こんな方におすすめ

  • 奥歯の治療をする人
  • 白い歯であればそこまで審美性を追求しない人
  • 金属アレルギーが心配な人

メリット・デメリット

Merit

  • 白い歯が可能
  • 金属アレルギーの心配が不要
  • 耐久性がある
  • 汚れが付着しにくく、虫歯や歯周病の予防になる

Demerit

  • 高額になりやすい
  • 強い衝撃によって割れたり欠けたりする可能性がある
  •   

料金・保証内容

143,000 円 ~ (税込)

保証5年

ハイブリッドセラミッククラウン

  • 強度

  • 美しさ

  • 耐久性

  • 安全性

治療概要

セラミックと樹脂を混ぜ合わせて作られた被せ物(クラウン)です。樹脂が入っているため、セラミックよりも強度が劣ります。 また、透明感が少なく、変色の可能性もありますが、それほど噛む力が強くない方であれば奥歯でも使用できます。

さらに詳しく見る

こんな方におすすめ

  • 嚙む力がそれほど強くない小臼歯の治療を行う人
  • 費用を抑えたいけど白い歯にしたい人
  • 金属アレルギーが心配な人

メリット・デメリット

Merit

  • 費用を抑えて白い歯にできる
  • 金属アレルギーの心配が不要
  • 自費治療のなかでも費用を抑えられる方法

Demerit

  • 割れたり欠けたりする可能性がある
  • 経年劣化しやすい
  • 変色の可能性がある
  •   

料金・保証内容

121,000 円 ~ (税込)

保証3年

セラミックの治療メニュー

セラミックの詰め物(インレー)・被せ物(クラウン)を装着する以外に、応用した治療にも対応できます。当院で対応できるセラミック治療のメニューをご紹介します。

セラミックの治療メニュー

インレー・クラウン

セラミックの基本的な治療です。
セラミックの素材でできた詰め物(インレー)もしくは、被せ物(クラウン)を装着します。

セラミック矯正

セラミック素材の人工歯を用いて歯並びを整える治療です。
歯を削って人工歯によって歯並びを整えます。一般的な矯正治療よりも短期間で歯並びを整えられるメリットがあります。
また、歯並びだけでなく歯の形や歯の色も同時に調整できるため、より見た目にこだわった仕上がりが可能です。

Caution

セラミック矯正の魅力は短期間で歯並びを整えられる点ですが、複数本の自分の歯を削らなければなりません。 また、セラミック矯正の仕上がりは永久的なものではないため、セラミックが欠けたり適合が悪くなったりした際に再度治療が必要になります。
再治療時には、また歯を削らなければならないため、歯の健康を優先している当院では、推奨していない治療法です。

ラミネートベニア

ラミネートベニアとは、歯の表面を薄く削り、板状のセラミックを貼り付ける治療です。歯を削る量が少ないため、健康な歯質を多く残すことができるメリットがあります。

すきっ歯などの見た目でお悩みの方に適した治療法です。

Caution

ラミネートベニアは歯との接着面が少ないことから、外れる可能性が高くなる治療法です。そのため、食事内容や食べ方にも注意しなければなりません
当院は、外れる可能性が高いラミネートベニアよりもしっかりと固定できるセラミッククラウンを推奨しています。

セラミック治療の流れ

Step 01

カウンセリング

「銀歯を白くしたい」「歯の形を調整したい」など患者様のお悩みをお聞かせください。

カウンセリングを行います

Step 02

検査・診断

カウンセリング後に、お口の状態を調べるためレントゲン撮影や口腔内診査を行います。

レントゲン写真撮影

Step 03

治療計画の立案・説明

検査結果をもとに治療計画を立案し、患者様に治療方法をご提案します。
一人ひとりに適したセラミックの素材をご提案します。
気になることや不安なことがありましたらお気軽にご相談ください。

治療計画を丁寧に説明します

Step 04

治療

歯の形を整えて型取りを行います。

1週間ほどで技工物が完成しますので、適合性や噛み合わせを確認し、問題なければ人工歯を装着します。

実際の治療

Step 05

メンテナンスに移行

治療が完了した後は、メンテナンスに移行します。

治療したセラミックをより長持ちさせるためには、メンテナンスが欠かせません
定期的に噛み合わせやセラミックのチェックを受け、専門的なクリーニングも受けるようにしましょう。

メンテナンスを行っています

セラミック治療の寿命と、長持ちさせるためには

治療したセラミックの平均寿命は約10年といわれています。
しかし、治療後の管理によってより長持ちさせることも可能です。

セラミックを長持ちさせるためには、定期的なメンテナンスの受診が欠かせません。ご自身のセルフケアでは限界があるため、治療後の再治療を防ぐためには専門的なクリーニングが必要です。

また、むし歯や歯周病以外に、歯ぎしりなどの噛み合わせの問題によっても再治療が必要になることもあります。そのため、当院のメンテナンスではクリーニングと同時に噛み合わせやセラミックの状態の確認も行っています

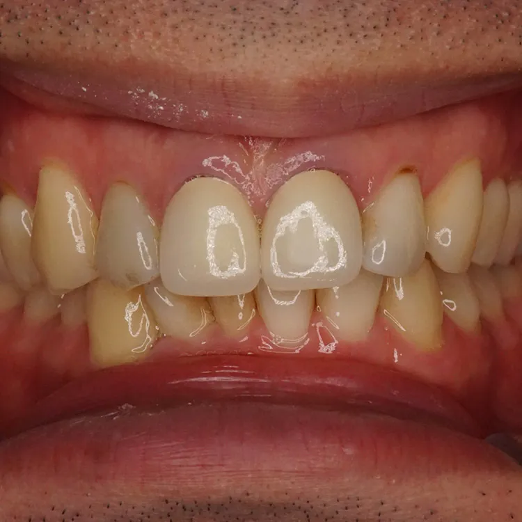
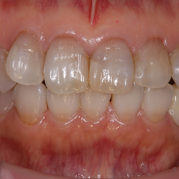
症例

before

after

CASE 01

フルオーダーメイドのクラウン6本

  • 施術概要

    上の前歯の歯並びと色が気になるとお悩みの患者様の症例です。 治療法としては通常の矯正やホワイトニングの選択肢もありましたが、治療期間や費用面・歯の色自体がホワイトニングで綺麗になり難い色の為、セラミックによる色調の改善を行いました。

  • 金額

    960,000円(税込)

  • 期間・回数

    約1ヶ月間(4回)

  • リスク・副作用

    複数本の自分の歯を削らなければなりません

ココロデンタル恵比寿のセラミック治療について

ご不明点は受付でお気軽にご相談ください

恵比寿で一番、

あなたの”時間”を想う歯医者

恵比寿西口から
徒歩30秒

平日21時まで
土曜18時まで
診療

「完全個室」で
プライバシーに
配慮

記事のまとめ

当院は数多くのセラミック治療の症例に対応してきた実績があります。長年の研鑽によって培った知識と技術で、丁寧な治療を提供いたします。ただ優れた素材を装着するのではなく、患者様一人ひとりの噛み合わせや歯ぎしりなどの癖を考慮した治療が大切です。 その結果、むし歯の再発を防ぎ、長持ちできるセラミック治療を実現できると考えています。

A place to restore both mind and body dentist in Ebisu that Values your time the most.

よくある質問

当院で、セラミック治療についてよくいただく質問をまとめさせていただきました。ご参照ください。
ホワイトニングとセラミック治療の違いは何ですか?

ホワイトニングは歯を削ることなく、ご自身の歯を白くすることが可能です。
一方で、セラミック治療は歯を削り、人工歯を装着することで白い歯を実現できる治療です。
セラミック治療は歯を削る必要がありますが、ご希望の白さや歯の形などを事前に設定できるため、患者様が希望する治療結果を得られやすいメリットがあります。

セラミックはどのくらい長持ちしますか?

セラミックの平均寿命は10年前後といわれています。
しかし、治療後のメンテナンスによっても寿命は大きく左右されます。
十分なケアができていなければ、むし歯や歯周病によって再治療が必要になる可能性が高まります。定期的にメンテナンスを受診し、適切な管理を行うことで10年以上長持ちされている方も多くいらっしゃいます。

セラミックを入れた後のメンテナンスはどうすればいいですか?

セラミックを入れた後は、日々の丁寧なセルフケアはもちろんのこと、定期検診で噛み合わせのチェックや専門的なクリーニングを受けることが大切です。
定期的にこのようなメンテナンスを受けることで、むし歯の再発や歯周病を予防し、トラブルがある場合も早期に対応できるため、セラミックを長持ちさせることにつながります

セラミックは保険の適用ができますか?

セラミック治療は保険が適用されません。

クラウンとブリッジの違いを教えてください。

クラウンとは、歯を覆い被せる被せ物のことです。一方で、ブリッジとは欠損部を補うための連結した補綴物のことを意味します。
クラウンは1本の歯に装着する被せ物ですが、ブリッジの場合は欠損部の前後の歯を土台にして、連結させて装着する被せ物です。

詰め物や被せ物が目立つのがコンプレックスです。白くすることはできますか?

銀色の詰め物や被せ物、変色した補綴物でお悩みの方は少なくありません。
白い補綴物で治療することで改善できます。当院は白い詰め物・被せ物の種類が豊富です。
部位や噛み合わせなど、一人ひとりのお口の状態に合わせて最適な材質をご提案いたします。

男性でも審美の治療は可能ですか?

もちろん可能です。
性別問わず、見た目にこだわった治療を希望する方は増えています。 審美治療を希望される方はお気軽にご相談ください。

悩む時間を、解決の時間に変えましょう。

お気軽にお問い合わせください

不安を抱えたまま時間が過ぎる前に、私たちにお聞かせください。 丁寧にお話を伺い、あなたにとって最善の方法を一緒に見つけます。早めの一歩が、あなたの笑顔を守ります。

この記事の執筆・監修者プロフィール

ココロデンタル恵比寿院長 小林 弘樹
ココロデンタル恵比寿
院長

小林 弘樹

Kobayashi Hiroki

私が最も大切にしているのは、あなたの「時間」を無駄にしないことです。 短期間での完了をめざしながら、質も妥協せず、一回の診療には必要に応じて十分な時間を確保し、より良い治療を丁寧に提供します。 不安や痛みには先回りして配慮し、納得のうえで決める。その積み重ねが、日々の生活リズムを崩さずに健康を守る最短路だと考えています。恵比寿で、あなたの時間も笑顔も、大切に守り続けます。

詳しくはこちら
日祝
10:00~13:30
15:00~21:30 ⚪︎

※⚪︎:土曜日の午後は14:30〜18:00