恵比寿駅西口徒歩1分の歯医者・矯正歯科|ココロデンタル恵比寿

〒150-0021 東京都渋谷区恵比寿西1丁目9−7 グランベル恵比寿ビル WEST10F

Menu

詰め物(インレー)・被せ物(クラウン)

詰め物(インレー)・被せ物(クラウン)とは、削った歯の欠損部を補い、機能と見た目を回復する補綴治療(ほてつちりょう)です。インレーは部分修復、クラウンは歯全体を覆い強度を補います。

ココロデンタル恵比寿は2017年2月〜2025年11月で1万本超の実績があり、その人に適した治療法をご提案します。また、拡大視野やマイクロスコープを用いて精密な治療が可能なことに加えて、3Dスキャナーを用いることで嘔吐反射にも配慮した治療が可能です。 素材選定から咬合調整、充実保証まで“長持ちする美しさ”を設計します。

ココロデンタル恵比寿のこだわり

  • 症例数: 1万本以上の実績 (※2017年2月~2025年11月)

  • 保証制度が充実!万一に備える安心のサポート体制

  • 拡大鏡・マイクロスコープを導入!技術も設備も妥協しない詰め物・被せ物

  • 「オエッ」となる嘔吐反射がある方でも安心!3Dスキャナーで印象材を使わない型取り

  • 3Dスキャナーを用いることで型取りの変形・作業誤差を低減!

ココロデンタル恵比寿院長 小林 弘樹
ココロデンタル恵比寿
院長

小林 弘樹

Kobayashi Hiroki

私が最も大切にしているのは、あなたの「時間」を無駄にしないことです。 短期間での完了をめざしながら、質も妥協せず、一回の診療には必要に応じて十分な時間を確保し、より良い治療を丁寧に提供します。 不安や痛みには先回りして配慮し、納得のうえで決める。その積み重ねが、日々の生活リズムを崩さずに健康を守る最短路だと考えています。恵比寿で、あなたの時間も笑顔も、大切に守り続けます。

目次

詰め物(インレー)と被せ物(クラウン)の違い

詰め物(インレー)とは、比較的小さな虫歯を修復するために用いられる補綴物です。一部だけを詰める形状をしています。 一方で、被せ物(クラウン)とは、詰め物(インレー)では強度が保てず修復できないほど大きな虫歯の場合に用いられる補綴物です。歯を丸ごと覆い被せる形状をしています。 歯を削る量によって、詰め物(インレー)と被せ物(クラウン)のどちらが適しているかを判断します。
  • 虫歯の範囲が狭い歯
  • 虫歯が浅い歯
  • 神経が残っている歯
  • 歯質が十分に残っている歯
  • 虫歯の範囲が広い歯
  • 虫歯が深い歯
  • 神経がない歯
  • 歯の大部分が失っている歯
  • 形や色などを改善したい場合

保険診療と自費診療の違いについて把握しておこう

カウンセリング
詰め物(インレー)・被せ物(クラウン)の治療には、保険診療と自費診療の2種類があり、使用される材質や費用、見た目などの違いがあります。 詰め物(インレー)・被せ物(クラウン)の治療を受ける方は、それぞれの特徴を把握しておきましょう。

保険診療

保険診療の詰め物(インレー)・被せ物(クラウン)は、歯の機能面を回復するために必要最低限の素材で作られたものです。多くの場合は銀歯が使用されます。保険診療でも白い詰め物(インレー)・被せ物(クラウン)の治療が可能ですが、部位や噛み合わせなどに細かな条件があり、誰でも保険診療で白い歯を装着できるわけではありません。

Merit

  • 費用を抑えられる
  • 噛み合わせなどの機能回復が可能

Demerit

  • 使用する素材や材料に制限がある
  • 審美性が劣る
  • 銀歯の場合、金属アレルギーのリスクがある
  • 変色しやすい
  • 虫歯や歯周病の再発の可能性が高まる

自費診療

自費診療の詰め物(インレー)・被せ物(クラウン)は、歯の機能面のほかに審美面や耐久性などにこだわった治療が可能です。使用する素材や治療方法に制限がないため、患者様のご希望に沿った治療を行いやすい特徴があります。

Merit

  • 審美面が優れている
  • 耐久性が高い
  • 機能回復が可能
  • 変色しづらい
  • 虫歯や歯周病の再発予防になる
  • 金属アレルギーにも対応可能

Demerit

  • 高額になりやすい
  • メンテナンスが必要

ワンポイントセンテンス

保険診療の詰め物(インレー)・被せ物(クラウン)は費用を抑えた治療が可能ですが、将来的に考えると自費診療に比べてコストが高くなる可能性があります。 なぜなら、保険診療での詰め物(インレー)・被せ物(クラウン)は自費診療より適合性や耐久性が劣るため、再治療が必要となるケースが多いためです。

また、汚れも付着しやすいことから虫歯や歯周病の再発リスクも高まるといえるでしょう。 一方で、治療費が高額になりやすい自費診療は、耐久性や適合性などに優れているため、10年以上維持できることがほとんどです。再治療を防ぐため歯にも優しい治療といえるでしょう。

自分に合った詰め物(インレー)・被せ物(クラウン)の選び方

シェードガイド

保険診療の詰め物(インレー)

保険診療の詰め物(インレー)について、強度・美しさ・耐久性・安全性を5段階評価で表します。

素材の特徴も解説しますので、ご参考にしてください。

メタル(金銀パラジウム合金)

  • 強度

  • 美しさ

  • 耐久性

  • 安全性

治療概要

メタル(金銀パラジウム合金)とは銀歯のことです。昔から歯科治療で用いられています。
丈夫であるため、咬合力がかかる奥歯に使用できます。 ただし、銀歯が目立ちやすいなどの審美的な問題があるため、治療前に歯科医師とよく相談することが大切です。

さらに詳しく見る

こんな方におすすめ

  • 費用を抑えたい人
  • 見た目を気にしない人
  • 噛む力が強い人

メリット・デメリット

Merit

  • 費用を抑えられる
  • 強度があり丈夫
  • 欠けたりすることがほとんどない

Demerit

  • 審美性が劣る
  • 金属アレルギーのリスクがある
  • 経年劣化しやすい

費用

3割負担で3,000 円 ~ 4,000 円程度

治療を行ってから2年以内は保険診療で作り直すことができないため、2年以内に再治療する場合は自費診療となります。

自費診療の詰め物(インレー)

自費診療の詰め物(インレー)について、強度・美しさ・耐久性・安全性を5段階評価で表します。

素材の特徴も解説しますので、ご参考にしてください。

ジルコニア

  • 強度

  • 美しさ

  • 耐久性

  • 安全性

治療概要

ジルコニアは人工ダイヤとも呼ばれるほど丈夫で強度が高い素材です。白い詰め物(インレー)であるため目立ちにくく、金属を使用しないため金属アレルギーが心配な方にも対応できます。

さらに詳しく見る

こんな方におすすめ

  • 白い歯を希望する人
  • 噛む力が強い人
  • 歯ぎしりや食いしばりの癖がある人

メリット・デメリット

Merit

  • 丈夫で割れにくい
  • 噛む力が強い人でも対応可能
  • 金属アレルギーの心配不要
  • 天然歯に近い色で審美性に優れている
  • 汚れが付着しにくく、虫歯や歯周病の予防になる

Demerit

  • 高額になりやすい
  • 硬いために噛み合う歯がすり減る恐れがある

費用

77,000(税込)

保証

5年

EMAX

EEMAX

  • 強度

  • 美しさ

  • 耐久性

  • 安全性

治療概要

セラミックのみで作られた審美性の高い素材です。強度はジルコニアより劣りますが、色の再現性はジルコニアより優れているため、より天然歯に馴染んだ自然な仕上がりが可能です。

さらに詳しく見る

こんな方におすすめ

  • より見た目にこだわった治療を求める人
  • 金属アレルギーが心配な人
  • 噛む力が強すぎない人

メリット・デメリット

Merit

  • 審美性が高い
  • 金属アレルギーの心配不要
  • 耐久性がある
  • 汚れが付着しにくく、虫歯や歯周病の予防になる

Demerit

  • 高額になりやすい
  • 強い衝撃によって割れたり欠けたりすることがある

費用

77,000(税込)

保証

5年

ガラスセラミック

ガラスセラミック

  • 強度

  • 美しさ

  • 耐久性

  • 安全性

治療概要

ジルコニアやemaxより審美面や強度が少し劣るものの、白くて美しい治療の仕上がりが可能です。 どの臼歯部にも適用できる特徴があります。

さらに詳しく見る

こんな方におすすめ

  • 費用を抑えたいけど白い歯にしたい人
  • 金属アレルギーが心配な人
  • 噛む力が強すぎない人

メリット・デメリット

Merit

  • 白くて自然な仕上がりが可能
  • 金属アレルギーの心配不要
  • 強度がある
  • 汚れが付着しにくく、虫歯や歯周病の予防になる

Demerit

  • 高額になりやすい
  • 強い衝撃によって割れたり欠けたりすることがある

費用

66,000(税込)

保証

4年

ハイブリットセラミック

ハイブリットセラミック

  • 強度

  • 美しさ

  • 耐久性

  • 安全性

治療概要

ハイブリッドセラミックはセラミックと樹脂を混ぜ合わせてできた素材です。白い歯になりますが、樹脂が入っているため、強度がやや劣ります。 また白い歯でも、経年劣化によって変色することがあります。

さらに詳しく見る

こんな方におすすめ

  • 白い歯であれば素材にこだわらない人
  • 噛む力が強くない人

メリット・デメリット

Merit

  • 白い歯にできる
  • 金属アレルギーの心配不要
  • 自費診療のなかでも費用を抑えらえる方法

Demerit

  • 割れたり欠けたりする可能性がある
  • 経年劣化しやすい
  • 変色の可能性がある

費用

55,000(税込)

保証

3年

被せ物(クラウン)の種類

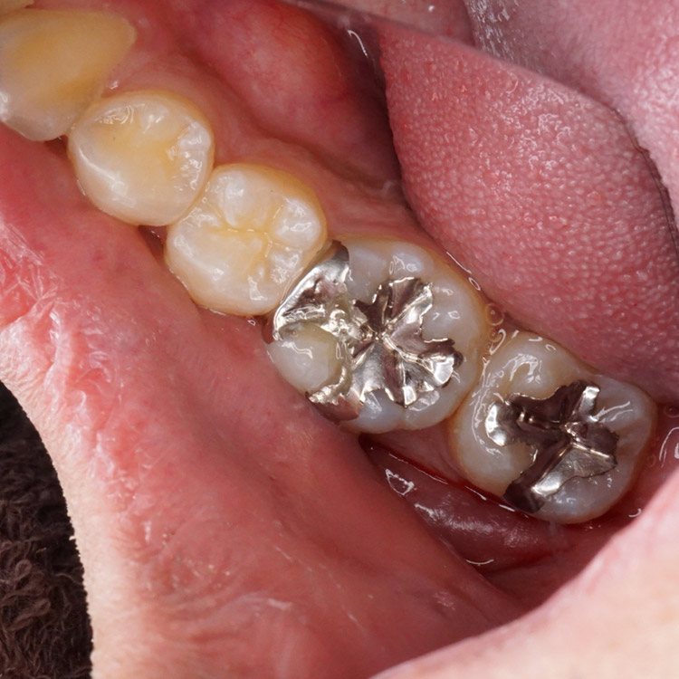
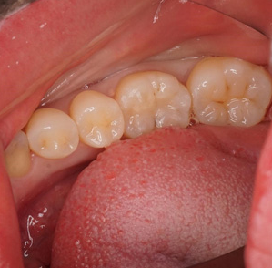
奥歯の虫歯の治療治療後
被せ物(クラウン)には>保険診療のものと自費診療のものとで大きく2種類あります。ここでは、ココロデンタル恵比寿で採用している被せ物(クラウン)をそれぞれ紹介させていただきます。

保険診療の詰め物(クラウン)

保険診療の被せ物(クラウン)について、強度・美しさ・耐久性・安全性を5段階評価で表します。

素材の特徴も解説しますので、ご参考にしてください。

メタル(金銀パラジウム合金)

メタル(金銀パラジウム合金)

メタル(金銀パラジウム合金)
  • 強度

  • 美しさ

  • 耐久性

  • 安全性

  • ※左の写真は詰め物(インレー)

治療概要

保険診療の詰め物(インレー)と同じ素材の銀歯のことです。昔から歯科治療で用いられており、丈夫であるため、咬合力がかかる奥歯で問題なく使用できます。 ただし、銀歯が目立ちやすいなどの審美的な問題があるため、治療前に歯科医師とよく相談することが大切です。

さらに詳しく見る

こんな方におすすめ

  • 費用を抑えたい人
  • 見た目を気にしない人
  • 噛む力が強い人

メリット・デメリット

Merit

  • 費用を抑えられる
  • 強度があり丈夫
  • 欠けたりすることがほとんどない

Demerit

  • 審美性が劣る
  • 金属アレルギーのリスクがある
  • 経年劣化しやすい

費用

3割負担で4,000 円 ~ 6,000 円程度

治療を行ってから2年以内は保険診療で作り直すことができないため、2年以内に再治療する場合は自費診療となります。

自費診療の詰め物(クラウン)

自費診療の被せ物(クラウン)について、強度・美しさ・耐久性・安全性を5段階評価で表します。

素材の特徴も解説しますので、ご参考にしてください。

フルオーダーセラミッククラウン

フルオーダーセラミッククラウン

  • 強度

  • 美しさ

  • 耐久性

  • 安全性

治療概要

セラミックのみで作られた被せ物(クラウン)で、患者様のご希望を伺い、歯の色や形などをフルオーダーで作製します。天然歯と見分けがつかないほど美しい仕上がりが可能ですので、前歯など審美性を求める治療に適しています。

さらに詳しく見る

こんな方におすすめ

  • とにかく美しい仕上がりを希望する人
  • 歯の色や形などこだわりがある人
  • 前歯の治療を行う人

メリット・デメリット

Merit

  • 審美性が非常に高い
  • 金属アレルギーの心配不要
  • 耐久性がある
  • 汚れが付着しにくく、虫歯や歯周病の予防になる

Demerit

  • 高額になりやすい
  • 強い衝撃によって割れたり欠けたりすることがある

費用

187,000(税込)

保証

5年

セミオーダーセラミッククラウン

セミオーダーセラミッククラウン

  • 強度

  • 美しさ

  • 耐久性

  • 安全性

治療概要

セラミックのみで作られた被せ物(クラウン)です。フルオーダーセラミッククラウンと比較すると審美性が少し劣りますが、それでも十分な美しさがあります。 歯の色調によっては天然歯と変わらない自然な仕上がりが可能です。

さらに詳しく見る

こんな方におすすめ

  • 白くてきれいな歯を希望する人
  • 虫歯や歯周病の再発を避けたい人
  • 噛む力が強過ぎない人

メリット・デメリット

Merit

  • 審美性が高い
  • 金属アレルギーの心配不要
  • 耐久性がある
  • 汚れが付着しにくく、虫歯や歯周病の予防になる

Demerit

  • 高額になりやすい
  • 強い衝撃によって割れたり欠けたりすることがある

費用

165,000(税込)

保証

5年

セラミッククラウン

セラミッククラウン

  • 強度

  • 美しさ

  • 耐久性

  • 安全性

治療概要

セラミックのみで作られた被せ物(クラウン)です。単色で作られるため、セミオーダーセラミッククラウンよりも審美性が少し劣るものの、強度や耐久性は十分にあります。 それほど目立たない奥歯に適しているでしょう。

さらに詳しく見る

こんな方におすすめ

  • 奥歯の治療をする人
  • 金属アレルギーが心配な人
  • 白い歯であればそこまで審美性を追求しない人

メリット・デメリット

Merit

  • 白い歯が可能
  • 金属アレルギーの心配不要
  • 耐久性がある
  • 汚れが付着しにくく、虫歯や歯周病の予防になる

Demerit

  • 高額になりやすい
  • 強い衝撃によって割れたり欠けたりすることがある

費用

143,000(税込)

保証

5年

ハイブリッドセラミッククラウン

ハイブリッドセラミッククラウン

  • 強度

  • 美しさ

  • 耐久性

  • 安全性

治療概要

セラミックと樹脂を混ぜ合わせて作られた被せ物(クラウン)です。樹脂が入っているため、セラミックよりも強度が劣ります。また、透明感が少なく、変色の可能性もありますが、それほど噛む力が強くない方であれば奥歯でも使用できます。

さらに詳しく見る

こんな方におすすめ

  • 金属アレルギーが心配な人
  • 費用を抑えたいけど白い歯にしたい人
  • 噛む力がそれほど強くない小臼歯の治療を行う人

メリット・デメリット

Merit

  • 費用を抑えて白い歯にできる
  • 金属アレルギーの心配不要
  • 自費診療のなかでも費用を抑えらえる方法

Demerit

  • 割れたり欠けたりする可能性がある
  • 経年劣化しやすい
  • 変色の可能性がある

費用

121,000(税込)

保証

3年

よくあるご質問

当院で、詰め物(インレー)・被せ物(クラウン)についてよくいただく質問をまとめさせていただきました。ご参照ください。

詰め物(インレー)や被せ物(クラウン)が取れたら、どうしたらいいですか?

外れた詰め物(インレー)・被せ物(クラウン)を持って歯科医院を受診してください。特に問題がなければそのまま装着することができます
ただし、放置している期間が長くなると、詰め物(インレー)・被せ物(クラウン)と歯の適合が悪くなって再度治療が必要になることがあります。

詰め物(インレー)・被せ物(クラウン)の保険診療と自費診療の違いは?

使用される材質や費用などが異なります。 保険診療の場合は、機能面を回復する最低限の治療となるため、審美面や耐久性は自費診療に劣ります。ただし、費用を抑えた治療が可能です。
自費診療の場合は、使用する素材や治療方法に制限がないため、審美面や耐久性、機能面のこだわった治療が可能です。適合性がよく、汚れが付着しにくい素材であることから虫歯の再発を防ぐ効果も期待できます。ただし、費用は高額になります。

治療には何回の通院が必要で、期間はどのくらいかかりますか?

歯の状態によって異なります。 型取りをして装着するだけでよい場合は2回の通院で治療が完了します。 しかし、根管治療が必要であったり複数の歯の治療を行ったりする場合は1〜2ヶ月程度の治療期間が必要になります。

治療後に痛みやしみる症状はありますか?出た場合はどこまでが正常で、いつ受診すべきですか?

神経がある歯の場合、治療後にしみるような痛みが出ることがあります。数日で治まるようであれば問題ありませんが、強い痛みが1週間以上継続している場合や痛みが酷くなる場合はご連絡ください。 日常生活に支障が出るほどの痛みがある場合は、1週間待たずに早めに受診してください

詰め物(インレー)や被せ物(クラウン)が利用できない場合はありますか?

歯茎の下にまで虫歯が進行している場合は、詰め物や被せ物の治療ができないケースがあります。

ココロデンタル恵比寿での
詰め物(インレー)・被せ物(クラウン)について

ココロデンタル恵比寿マイクロスコープでの治療

恵比寿で一番、

あなたの”時間”を想う歯医者

恵比寿西口から
徒歩30秒

平日21時まで
土曜18時まで
診療

「完全個室」で
プライバシーに
配慮

記事のまとめ

重視するのは「どの素材を選ぶか」だけでなく「どう長く快適に使えるか」です。初回は咬合・歯周状態まで診査し、写真・咬合記録・色見本を使って〈見た目/耐久性/費用/メンテ頻度〉のバランスを比較しながら最適案を一緒に決めます。

最新機器と多くの症例経験を元にその人に合った治療法をご提案します。 恵比寿駅から徒歩1分で通いやすく、よくある失敗「治療の途中で通えなくなった」ということが少なく忙しい方でも無理なく治療が可能です。
まずは現状を可視化し、納得のいく選択から始めましょう。ぜひ下記よりご相談ください。

A place to restore both mind and body dentist in Ebisu that Values your time the most.

この記事の執筆・監修者プロフィール

ココロデンタル恵比寿院長 小林 弘樹
ココロデンタル恵比寿
院長

小林 弘樹

Kobayashi Hiroki

私が最も大切にしているのは、あなたの「時間」を無駄にしないことです。 短期間での完了をめざしながら、質も妥協せず、一回の診療には必要に応じて十分な時間を確保し、より良い治療を丁寧に提供します。 不安や痛みには先回りして配慮し、納得のうえで決める。その積み重ねが、日々の生活リズムを崩さずに健康を守る最短路だと考えています。恵比寿で、あなたの時間も笑顔も、大切に守り続けます。

詳しくはこちら

悩む時間を、解決の時間に変えましょう。

お気軽にお問い合わせください

不安を抱えたまま時間が過ぎる前に、私たちにお聞かせください。 丁寧にお話を伺い、あなたにとって最善の方法を一緒に見つけます。早めの一歩が、あなたの笑顔を守ります。

日祝
10:00~13:30
15:00~21:30 ⚪︎

※⚪︎:土曜日の午後は14:30〜18:00