恵比寿駅西口徒歩1分の歯医者・矯正歯科|ココロデンタル恵比寿

〒150-0021 東京都渋谷区恵比寿西1丁目9−7 グランベル恵比寿ビル WEST10F

Menu

虫歯治療

ココロデンタル恵比寿の虫歯治療は、“痛みを最小限に、歯を最大限に守る”ことがこだわりです。通院回数を減らし効率的に治療を進めるだけでなく、精密な診療体制で再発リスクを抑制し、大切な天然歯を残しながら、将来の負担を減らす治療を提供します。

ココロデンタル恵比寿の虫歯治療へのこだわり

  • 麻酔の痛みも少ない!私が痛がりだからこそ、痛みのすくなさにこだわる治療

  • 1日で治療が終わる、あなたの通院回数を最小に!多数歯の場合もまとめて治療可能

  • なるべく天然歯、神経を残す治療

  • 予約の時間枠にゆとりを作ることで丁寧な虫歯除去が可能

  • 虫歯を取り残さない!肉眼の20倍以上のマイクロスコープ・拡大鏡・カリエスチェックを使用!

ココロデンタル恵比寿院長 小林 弘樹
ココロデンタル恵比寿
院長

小林 弘樹

Kobayashi Hiroki

私が最も大切にしているのは、あなたの「時間」を無駄にしないことです。 短期間での完了をめざしながら、質も妥協せず、一回の診療には必要に応じて十分な時間を確保し、より良い治療を丁寧に提供します。 不安や痛みには先回りして配慮し、納得のうえで決める。その積み重ねが、日々の生活リズムを崩さずに健康を守る最短路だと考えています。恵比寿で、あなたの時間も笑顔も、大切に守り続けます。

悩む時間を、解決の時間に変えましょう。

お気軽にお問い合わせください

不安を抱えたまま時間が過ぎる前に、私たちにお聞かせください。 丁寧にお話を伺い、あなたにとって最善の方法を一緒に見つけます。早めの一歩が、あなたの笑顔を守ります。

目次

虫歯の原因

虫歯の原因

虫歯の根本的な原因は、ミュータンス菌などの細菌(虫歯菌)です。虫歯菌が口の中の食べかすなどに含まれる糖分を栄養として繁殖し、歯を溶かす酸を作り出します。これによって虫歯が発生・進行してしまいます。

しかし、虫歯菌がいるからといって必ずしも虫歯になるわけではありません。

  • 細菌
  • 歯質
  • 糖分の量
  • 食べかすが口の中に残ったままの時間

上記の4つの要因が重なることで虫歯が発生します。そのため、虫歯菌が多い方も他の3つの要因をカバーすることで虫歯の予防が可能です。

虫歯の進行と虫歯の段階別治療法

虫歯の進行と虫歯の段階別治療法

虫歯の進行度はC0〜C4の5段階に分けられます。虫歯の初期段階では歯を削らずに済むこともありますが、虫歯が大きくなればなるほど歯の削る量は増え、大掛かりな治療が必要なります。

重度まで進行すると、歯を残せないこともあるため、早めに適切な治療を受けることが大切です。

 

以下では、進行度別の虫歯の状態と治療方法について詳しく説明しています。

C0

状態 治療方法
虫歯のはじまり 上面図 初期虫歯の状態。
歯が溶け始めているが、まだ穴はあいておらず、歯の表面に白濁(はくだく)がみられます。
痛みなどの症状もありません。
積極的に歯を削る治療は行いません。
フッ素塗布やブラッシング指導などを行って歯の再石灰化を促します。

Scroll →

C1

状態 治療方法
エナメル質の虫歯 上面図 エナメル質の虫歯。
エナメル質にとどまった小さな虫歯の状態です。
痛みなどの自覚症状はほぼありません。
虫歯部分を削って除去し、レジン(歯科用プラスチック)を詰めます。
C1の場合でも、削らずにフッ素塗布やブラッシング指導などで様子をみることもあります。

Scroll →

C2

状態 治療方法
象牙質の虫歯 上面図 エナメル質の内側にある象牙質にまで虫歯が進行している状態。
象牙質はエナメル質よりも柔らかいために、虫歯が一気に進行しやすい傾向にあります。

象牙質まで進行した虫歯は、冷たいものや甘いものがしみやすくなるなど、痛みを感じやすくなります。
虫歯部分を削って除去し、レジンを詰めます。

虫歯の範囲が広い場合は、レジンでは強度を保てないため、詰め物や被せ物を装着する治療になることがあります。

Scroll →

C3

状態 治療方法
神経に達した虫歯 上面図 虫歯が神経にまで達した状態。
冷たいものの他に熱いものがしみたり、何もしなくてもズキズキ痛んだり、強い痛みを感じやすくなります。
神経をとる治療が必要です。
麻酔をしてから神経を除去し、根管内を消毒して薬を詰めます。
根管治療終了後は、土台を立てて被せ物を装着します。

Scroll →

C4

状態 治療方法
歯根に達した虫歯 断面図 歯根にまで虫歯が進行し、歯の大部分が溶けて崩壊している状態。

神経が死ぬことで痛みがなくなることもありますが、根っこの先に膿が溜まり、歯茎や顔が腫れることがあります。
多くの場合、保存が困難で抜歯が必要です。

抜歯した場合、見た目や歯の機能面を補うために、インプラントやブリッジ、入れ歯の治療が必要になります。

Scroll →

ココロデンタル恵比寿の虫歯治療の特徴

ココロデンタル恵比寿の虫歯治療は、「あなたの時間」と「天然の歯を守ること」に徹底してこだわっています。虫歯は進行すると治療期間も費用もかさみますが、当院では通院回数を最小限に抑えるため、複数の虫歯もまとめて治療が可能です。例えば通常なら4本の虫歯で最長8回の通院が必要なところ、最短1日で対応が可能なよう効率よく治療を行います。

天然な歯や神経を残す治療方針

できる限り天然歯や神経を残す治療方針を大切にし、マイクロスコープや拡大鏡、カリエスチェックを駆使して虫歯を取り残さない丁寧な除去を実現しています。さらに、通常の歯科医院と比較して予約の時間に余裕を持たせた診療設計により、治療時間に無理がないため、一人ひとり精度の高い治療と再発防止を追求することができます。

施術フローと治療期間

Step 01

カウンセリング

痛みがある場所や気になる部分などをお伝えください。当院では、一人ひとりに適した治療をご提供するため、カウンセリングに力を入れています。主訴以外にも、不安に思うことや恐怖心がある場合も、お気軽にご相談ください。

Step 02

検査・診断

カウンセリング後は、お口の状態を調べるため、レントゲン撮影や歯周病検査などを行います。

Step 03

治療計画の立案・説明

検査結果をもとに治療計画を立案し、患者様に治療方法をご提案します。治療期間や費用などを細かく説明しますので、不明な点がありましたらお声がけください。患者様が納得しないまま勝手に治療を進めることはありません。

患者様の不安が残ったまま治療を開始しないためにも、十分な説明を行います。

Step 04

治療

痛みや腫れなどの症状が出ている場合は、初診時に治療を開始することがあります。
緊急性がない場合は、優先したほうがいい部位から順番に治療を進めます。
小さな虫歯であれば1回で治療が完了します。

型取りをして詰め物・被せ物が必要な治療の場合は2〜3回、神経をとる処置が必要な大きな虫歯の場合は1〜2ヶ月程度の治療が必要です。

Step 05

メンテナンス

全ての治療が完了したらメンテナンスに移行します。メンテナンスでは、治療した歯が再度虫歯になることがないよう、そして新たな虫歯ができないよう予防するための処置を行います。
定期的に受診していただき、お口の状態を確認してクリーニングを実施します。

症例の紹介

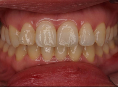
before

after

CASE 01

前歯の虫歯の治療

  • 施術概要

    虫歯の部分だけを最小限丁寧に取り除き、周りの歯の色になじむ自然な白い素材(レジン)で、元のきれいな形に整えます。これにより、口元の見た目をより自然な印象に近づけることを目指します。ダイレクトボンディングを実施。

  • 金額

    33,000円(税込)

  • 期間・回数

    小さい虫歯に関しては1回。 虫歯が神経まで到達している場合は、治療回数は2〜4回かかります。

  • リスク・副作用

    経年劣化によりレジンがすり減ったり着色し、将来的に再治療が必要となる場合があります。

before

after

CASE 02

奥歯の虫歯の治療

  • 施術概要

    虫歯を確実に取り除いた後、食事でしっかり噛む力に耐えられる丈夫な素材(レジン)を丁寧に詰めて形を整えます。これにより、歯が本来持つ「噛む」という大切な機能の回復を図ります。ダイレクトボンディングを実施。

  • 金額

    33,000円(税込)

  • 期間・回数

    隣の歯との間を含まない虫歯治療の場合、治療回数は1回。 隣の歯との間を含む虫歯治療の場合、治療回数は2回。 虫歯が神経まで到達している場合は、2〜4回かかります。

  • リスク・副作用

    経年劣化によりレジンがすり減ったり着色し、将来的に再治療が必要となる場合があります。

虫歯が再発しないために

虫歯が再発しないために

虫歯治療が終われば安心ではありません。虫歯治療をしても再度虫歯にかかる可能性があるためです。
何度も虫歯にかかって治療を繰り返していると、歯を削る量が増えるために歯は脆くなり歯の寿命が短くなってしまいます。

Caution

当院では、虫歯の再発を防ぐために、歯質と補綴物の適合性に注意を払うなど精密な治療を心がけております。しかし、いくら丁寧な治療を行ったとしても、その後のケアや管理が不十分であれば再度虫歯になる可能性が高まってしまいます。一度治療した歯は再度虫歯にならないよう、そして健康な歯を維持できるよう予防に関する取り組みが重要です。

毎日のセルフケアの徹底と、食生活の見直しに加えて、定期検診を受診して歯科医院での予防処置を受けることもおすすめします。

予防歯科の重要性

虫歯を予防するために毎日の丁寧な口腔ケアは欠かせませんが、セルフケアだけでは細かな汚れまで取り除くことができません。そのため、歯科医院での予防処置が必要になります。

 

当院では、より適切なセルフケアを行えるように患者様一人ひとりに合ったブラッシング指導を行っています。

歯ブラシ以外にもフロスや歯間ブラシなどの補助清掃用具の使用方法もお伝えしますので、気になることはいつでもご相談ください。また、専用の機械を用いたクリーニングやフッ素塗布なども実施します。
定期的に歯科医院を受診することで、自分では気付けない初期虫歯も早期に発見でき、簡単な処置で済ませられます。

健康な歯を守るためにも、予防歯科治療を受けたほうがよいでしょう。

よくあるご質問

当院で、虫歯治療についてよくいただく質問をまとめさせていただきました。ご参照ください。

Q1.虫歯の治療は何回ほどで、期間はどのくらいで終了しますか?

虫歯の大きさによって治療回数・治療期間は異なります。
小さな虫歯であれば1回の治療で終了しますが、詰め物・被せ物が必要なほど範囲が大きな虫歯であれば、型取りをして技工物を装着するために2回以上(1週間以上)の治療が必要です。
さらに神経をとらなければならないほど大きな虫歯であれば、順調に治療が進んでも5回程度(1ヶ月以上)の治療が必要になります。

Q2.虫歯は人にうつりますか?

虫歯は人に移る可能性があります。
虫歯菌は唾液を介して人に移るためです。
ただし、虫歯菌が移されたとしても、その後のケアによって虫歯の発生を予防することは可能です。

Q3.妊娠中や乳歯のこどもなど虫歯治療に違いはありますか?

妊娠中の虫歯治療は、胎児への影響も考慮した治療が必要です。
一般的には、母体も胎児も安定している安定期(妊娠中期)に虫歯治療を行います。妊娠初期や妊娠後期は、使用する薬剤が胎児へ影響しやすいことがあるため、痛みを抑える応急処置にとどめることが多いでしょう。

また、乳歯は永久歯とは違い、虫歯の進行が早い特徴があります。そのため、早期に虫歯治療を行うことが大切です。

Q4.痛み・しみることがなければ虫歯ではないですか?

痛みやしみるなどの症状がなくても虫歯である可能性はあります。
特に虫歯の初期段階では痛みを感じないことが多くあります。虫歯が深く、神経が死んでしまっている場合も痛みを感じにくくなります。
虫歯か分からない場合は、自己判断で放置せず、まずは歯科医院を受診しましょう。

Q5.虫歯を放置するとどうなりますか?

虫歯は自然に治ることはありません。虫歯を放置すると細菌感染が進行して歯が溶かされていきます。歯の大部分が崩壊すると、抜歯しなければならないケースもあります。
歯の喪失を防ぐためにも、虫歯は早めに治療しましょう。

Q6.歯を抜くのはどのようなときですか?

虫歯が進行すると歯の大部分が溶けてしまいます。根管治療ができない、被せ物を装着するための土台を作れないほど歯が崩壊している場合は、保存が難しく抜歯しなければなりません。

ココロデンタル恵比寿の虫歯治療の特徴

虫歯治療

虫歯治療

恵比寿で一番、

あなたの”時間”を想う歯医者

恵比寿西口から
徒歩30秒

平日21時まで
土曜18時まで
診療

「完全個室」で
プライバシーに
配慮

記事のまとめ

ココロデンタル恵比寿の虫歯治療は、痛みを最小化しつつ天然歯・神経を極力残すことを心がけています。マイクロスコープ等で取り残しを防ぎ、余裕ある予約枠で丁寧に処置します複数歯も同日にまとめて対応し通院回数を削減します。再発リスクと将来負担を抑え、「あなたの時間」を守る精密治療です。

A place to restore both mind and body dentist in Ebisu that Values your time the most.

この記事の執筆・監修者プロフィール

ココロデンタル恵比寿院長 小林 弘樹
ココロデンタル恵比寿
院長

小林 弘樹

Kobayashi Hiroki

私が最も大切にしているのは、あなたの「時間」を無駄にしないことです。 短期間での完了をめざしながら、質も妥協せず、一回の診療には必要に応じて十分な時間を確保し、より良い治療を丁寧に提供します。 不安や痛みには先回りして配慮し、納得のうえで決める。その積み重ねが、日々の生活リズムを崩さずに健康を守る最短路だと考えています。恵比寿で、あなたの時間も笑顔も、大切に守り続けます。

詳しくはこちら

悩む時間を、解決の時間に変えましょう。

お気軽にお問い合わせください

不安を抱えたまま時間が過ぎる前に、私たちにお聞かせください。 丁寧にお話を伺い、あなたにとって最善の方法を一緒に見つけます。早めの一歩が、あなたの笑顔を守ります。

日祝
10:00~13:30
15:00~21:30 ⚪︎

※⚪︎:土曜日の午後は14:30〜18:00